Des dents de lait aux dents définitives: le guide pour accompagner votre enfant

La première dent qui tombe est un événement important pour chaque enfant. Celui-ci sent bien qu'il passe une nouvelle étape, qu’il grandit, mais parfois il ne voit pas pourquoi il devrait changer ses dents!
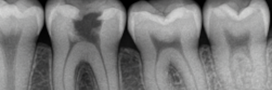
Facette dentaire, couronne, composite: qu’est-ce qui oriente le choix?

Lorsqu’une dent est abîmée, plusieurs options permettent de la restaurer: obturation en composite, facette dentaire ou couronne céramique. Le choix dépend de l’étendue de la lésion, de la quantité de dent saine restante et de l’objectif esthétique recherché.Votre dentiste à Bagneux vous explique dans quels cas chaque solution est indiquée.
Pourquoi je bave la nuit?. Est-ce grave et comment arrêter?

Pendant la nuit, les glandes salivaires fonctionnent et produisent de la salive, habituellement en quantité réduite par rapport à la journée. C'est un réflexe d'en avaler l'excédent pendant le sommeil. Pourtant, il peut arriver à tout un chacun d'apercevoir une tache de bave sur son oreiller le matin, et c'est tout à fait normal.
Microbes de la bouche et risque de cancer du pancréas

Parmi les centaines d’espèces de bactéries et de champignons qui peuplent la bouche, certaines sont capables de multiplier par 3,5 le risque de développer un cancer du pancréas, rapporte votre dentiste à Bagneux.
5 causes de carie à connaître absolument (à part le sucre)

La carie dentaire est le résultat d'une déminéralisation de l'émail, provoquée par les acides que rejettent les bactéries lorsqu'elles consomment des glucides.
Urgence dentaire: comment réagir, et le faire au bon moment (Partie 2)

Dans la première partie de cet article, nous avons vu comment reconnaître une véritable urgence dentaire et quand consulter sans attendre.
Urgence dentaire: comment réagir, et le faire au bon moment? (Partie 1)

Une urgence dentaire peut survenir soudainement, parfois sans douleur, mais toujours avec un risque pour la dent ou les tissus voisins.
FAQ sur le piercing langue: les réponses de votre dentiste à Bagneux (Partie 2)

Combien de temps après le perçage peut-on aller chez le dentiste?
Une fois la cicatrisation terminée, soit environ trois à quatre semaines après la pose.
FAQ sur le piercing langue: les réponses de votre dentiste à Bagneux (Partie 1)

Un piercing de langue n’est pas sans conséquences pour la santé bucco-dentaire. Votre dentiste à Bagneux répond aux questions les plus fréquentes sur ce sujet, afin d
Lésions des racines dentaires et santé générale: ce que montre une étude récente

Les lésions chroniques des racines dentaires - granulomes ou kystes radiculo-dentaires - sont fréquentes et souvent silencieuses.
Mentions légales
Le site dentiste a été réalisé par www.denti.site